Aller au contenu
Parkinson : le cerveau des femmes serait-il secrètement protégé par leurs hormones ?
Crédit: freepik
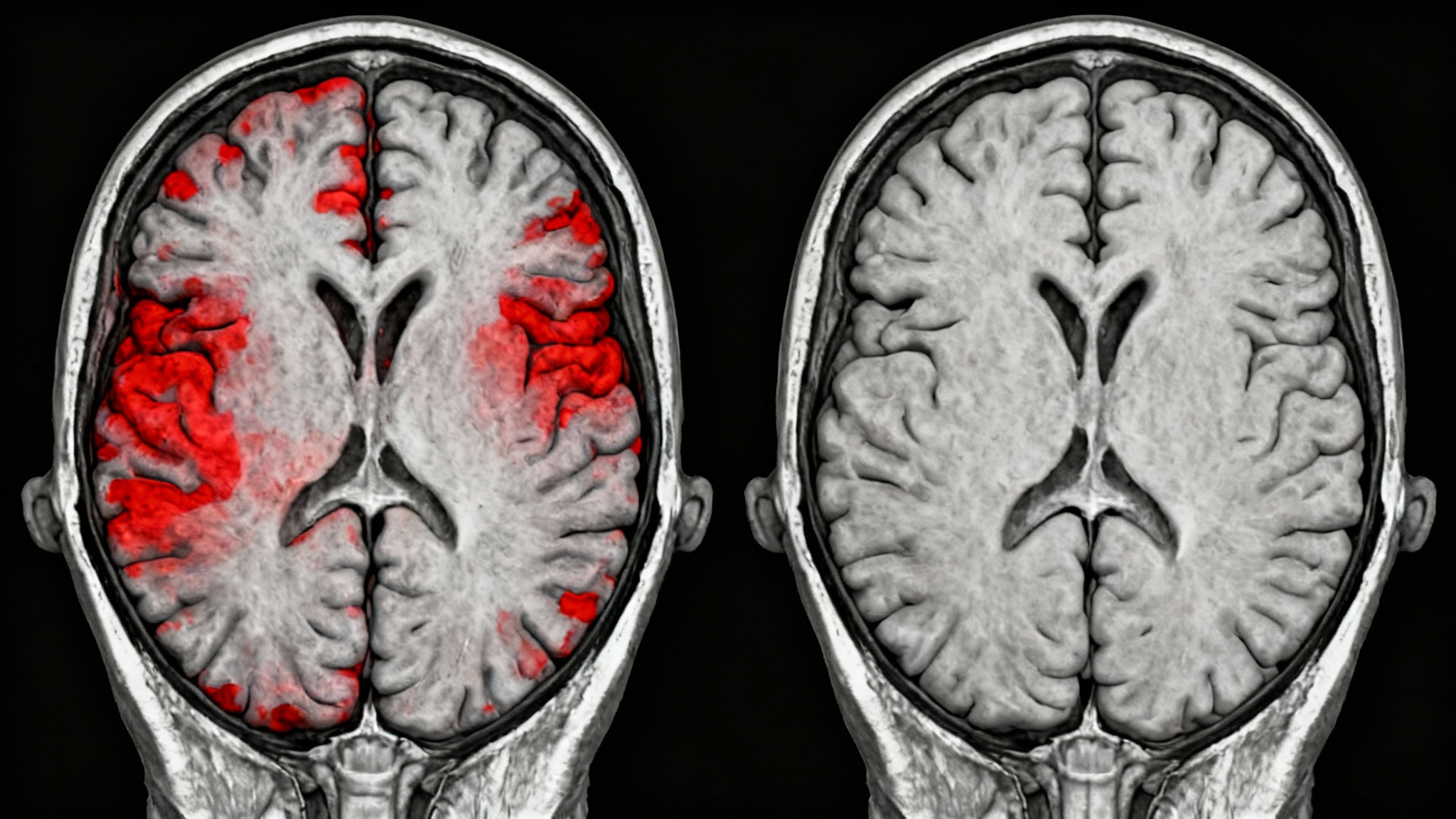
Face aux maladies neurodégénératives, sommes-nous tous égaux ? Une étude canadienne vient de jeter un pavé dans la mare en suggérant que les femmes pourraient bénéficier d’une protection naturelle contre la maladie de Parkinson. Publiés dans Nature Communications, ces travaux révèlent une différence biologique frappante qui pourrait bien orienter la recherche vers de toutes nouvelles pistes de traitement.

facebook icon twitter icon linkedin icon
Copié!
Plus de contenu