Les mythes sur l’AVC qui coûtent des vies : voici les symptômes à connaître absolument
Auteur: Simon Kabbaj
L’accident vasculaire cérébral, ou AVC, fait peur. Et pour cause, c’est l’une des principales causes de mortalité dans le monde. Pourtant, malgré sa gravité, beaucoup d’idées fausses circulent encore à son sujet. Ces mythes peuvent nous empêcher de reconnaître les signes à temps ou de réagir correctement, et quand il s’agit d’un AVC, chaque minute compte. Faisons le point ensemble sur ces croyances pour ne plus se laisser piéger et savoir comment agir pour se protéger et protéger nos proches.
Mythe n°1 : L'AVC, c'est seulement pour les personnes âgées
C’est probablement l’idée la plus répandue, et elle est dangereuse. S’il est vrai que le risque augmente avec l’âge, un AVC peut survenir à n’importe quel moment de la vie, même chez des jeunes de 20 ou 30 ans. Les médecins voient d’ailleurs de plus en plus de cas chez les plus jeunes, souvent à cause de l’obésité, de l’hypertension ou du diabète. Si vous ressentez une faiblesse soudaine dans un bras ou un affaissement du visage, ne vous dites jamais ‘je suis trop jeune pour ça’. Penser ainsi pourrait vous faire perdre un temps précieux.
Mythe n°2 : L'AVC, c'est une sorte de crise cardiaque
On les confond souvent car ils partagent des facteurs de risque similaires, comme une artère bouchée. Mais la comparaison s’arrête là. Une crise cardiaque touche le cœur. Un AVC, lui, est une ‘attaque cérébrale’. Il se produit soit quand un caillot bloque une artère dans le cerveau (AVC ischémique), soit quand un vaisseau sanguin se rompt et provoque une hémorragie (AVC hémorragique). Comme c’est le cerveau qui est touché, les symptômes sont neurologiques : problèmes de vision, de parole, d’équilibre…
Mythe n°3 : On ne peut rien faire pour l'éviter, c'est le destin
C’est absolument faux, et c’est même la meilleure nouvelle ! On estime que jusqu’à 80% des AVC pourraient être évités. Comment ? En agissant sur notre mode de vie. Contrôler sa tension artérielle est la chose la plus importante. Mais aussi gérer son diabète et son cholestérol, bouger un peu chaque jour. Chaque petite habitude saine que vous adoptez aujourd’hui est un pas de plus pour protéger votre cerveau demain.
Mythe n°4 : Les signes sont trop compliqués à reconnaître
Au contraire, les experts ont simplifié les choses pour nous. Il existe un moyen mnémotechnique simple pour se souvenir des signes d’alerte. En France, on utilise l’acronyme V.I.T.E. :
- V comme Visage paralysé ou affaissé d’un côté.
- I comme Incapacité à lever un bras ou les deux.
- T comme Trouble de la parole, difficulté à parler ou à comprendre.
- E comme Extrême urgence : appelez immédiatement le 15 ou le 911
D’autres signes peuvent apparaître : perte de vision, vertiges, mal de tête intense et soudain…
Mythe n°5 : Si les symptômes disparaissent, ce n'était rien de grave
Attention, c’est un piège ! Parfois, les symptômes d’un AVC apparaissent puis disparaissent en quelques minutes. On appelle ça un accident ischémique transitoire (AIT). Beaucoup de gens se sentent rassurés et ne consultent pas. Grosse erreur ! Un AIT est un signal d’alarme très sérieux qui annonce souvent la survenue d’un AVC bien plus grave dans les heures ou les jours qui suivent. Il faut le traiter comme une urgence et appeler le 15 sans attendre.
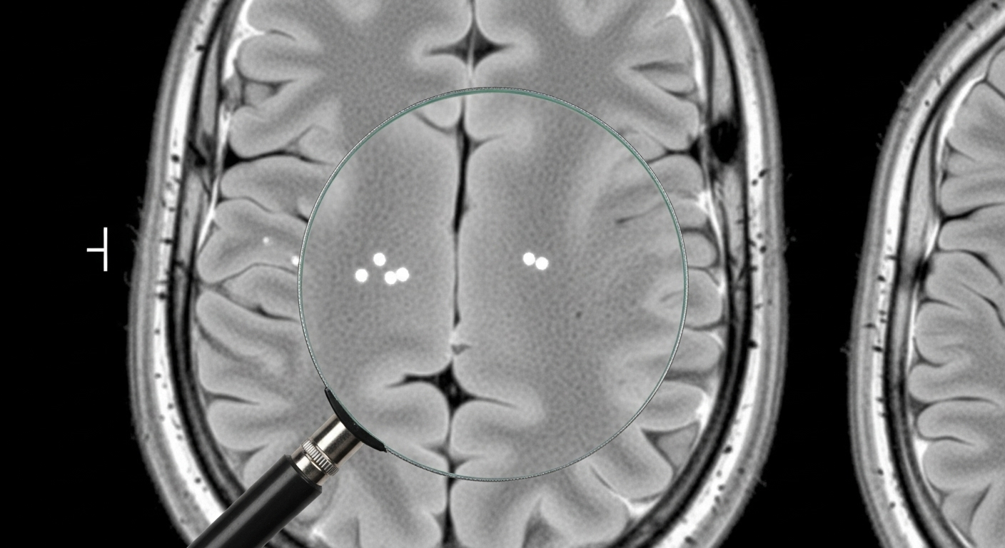
Mythe n°6 : Un AVC 'silencieux' est sans conséquence
Un AVC ‘silencieux’ est une petite lésion dans le cerveau qui ne provoque pas de symptômes évidents sur le moment. On les découvre souvent par hasard lors d’un examen d’imagerie (IRM). Mais ‘silencieux’ ne veut pas dire ‘inoffensif’. L’accumulation de ces petites attaques au fil des ans est liée à des pertes de mémoire, un déclin cognitif et un risque plus élevé de faire un AVC majeur. La prévention est donc encore plus importante pour les éviter.
Mythe n°7 : Un AVC, ça veut dire être paralysé à coup sûr
La paralysie d’une partie du corps est un symptôme fréquent, mais ce n’est pas systématique. Les effets d’un AVC dépendent de la zone du cerveau touchée et de l’étendue des dégâts. Certaines personnes auront des problèmes de langage, d’autres de vision, des difficultés à s’équilibrer ou des changements de comportement, sans aucune faiblesse musculaire visible. C’est pourquoi la règle du ‘symptôme neurologique qui apparaît soudainement’ est si importante.
Mythe n°8 : De toute façon, les médecins ne peuvent pas faire grand-chose
Cette idée est terriblement fausse et peut coûter des vies. Aujourd’hui, il existe des traitements d’urgence très efficaces. Si l’AVC est dû à un caillot, on peut injecter un produit pour le dissoudre ou même aller le retirer mécaniquement. Si c’est une hémorragie, on peut intervenir pour la stopper. Mais tous ces traitements sont une course contre la montre. Plus vous arrivez vite à l’hôpital, meilleures sont vos chances. N’allez pas vous coucher en espérant que ça passe et n’essayez pas de conduire. Appelez une ambulance.
Mythe n°9 : Les antécédents familiaux ne sont pas si importants
Si votre avenir n’est pas gravé dans le marbre, connaître l’histoire de sa famille est un bon indicateur. Certains facteurs génétiques peuvent augmenter le risque, par exemple en favorisant une tendance à l’hypertension ou au cholestérol. Mais ce n’est pas tout : les familles partagent aussi souvent les mêmes habitudes de vie (alimentation, sédentarité…). Savoir qu’il y a eu des AVC dans votre famille doit être une motivation supplémentaire pour adopter un mode de vie sain.
Mythe n°10 : Après un AVC, on ne s'en remet jamais vraiment
La récupération après un AVC est un long chemin, et il est vrai que certains gardent des séquelles importantes. Environ 40% des patients ont des limitations modérées à sévères. Mais il est tout à fait possible de récupérer, et parfois très bien ! Le degré de récupération dépend de la gravité de l’AVC, de la rapidité du traitement, mais aussi de l’âge et de la santé générale de la personne. La rééducation joue un rôle absolument crucial et commence très tôt, souvent dès les premières 48 heures à l’hôpital.
Conclusion : Soyez attentif et agissez vite, ça peut sauver une vie
Maintenant que ces mythes sont déconstruits, retenez l’essentiel : un AVC est une urgence absolue. N’oubliez jamais l’acronyme V.I.T.E. (Visage, Incapacité, Trouble de la parole, Extrême urgence). Si vous remarquez l’un de ces signes chez quelqu’un ou sur vous-même, n’hésitez pas une seconde : appelez le 15 ou le 911. En parallèle, n’oubliez pas que vous avez le pouvoir d’agir chaque jour pour réduire vos risques. Connaître les faits sur l’AVC, c’est déjà un grand pas pour protéger votre vie et celle de ceux que vous aimez.
Selon la source : health.clevelandclinic.org