40 ans de recherche pour changer un ennemi en allié

Il aura fallu près de quarante années de recherche assidue pour transformer une menace biologique en espoir thérapeutique. Daniel Portnoy, professeur à l’Université de Californie à Berkeley, a consacré sa carrière à étudier comment la bactérie Listeria manipule nos cellules et combat notre système immunitaire pour provoquer la listériose. Aujourd’hui, avec ses collègues, il a découvert un moyen de détourner ces mécanismes pour faire de la bactérie un puissant stimulant des défenses naturelles et une arme potentielle contre le cancer.
Il y a trois ans, cette ambition a pris une forme concrète avec la cofondation de la startup Laguna Biotherapeutics. En collaboration avec les scientifiques du laboratoire de Portnoy à Berkeley, l’entreprise a travaillé à éliminer la capacité de la bactérie à causer des maladies, tout en conservant son aptitude à stimuler la production d’un type spécifique de cellules immunitaires. Ces cellules, appelées lymphocytes T gamma delta, sont associées à une meilleure survie chez les patients atteints de cancer.
Les lymphocytes T gamma delta agissent comme des tueurs polyvalents, capables d’éliminer les cellules cancéreuses ou toute cellule infectée par un pathogène, qu’il s’agisse d’une bactérie, d’un virus ou d’un champignon. Laguna Bio s’apprête désormais à demander l’autorisation de la FDA pour évaluer cette thérapie chez des enfants atteints de leucémie ayant reçu des greffes de moelle osseuse non compatibles.
L’évasion du phagosome : comprendre le mécanisme

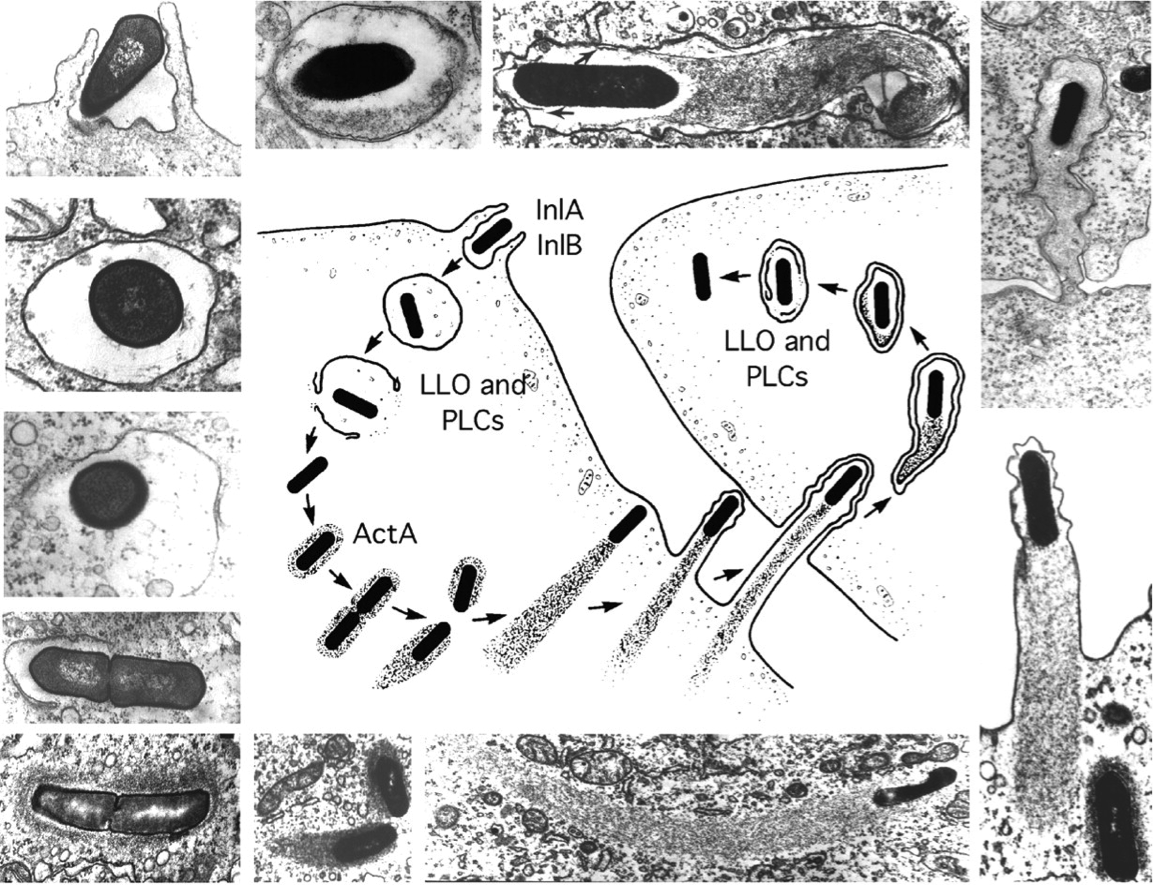
La Listeria monocytogenes est avant tout un pathogène d’origine alimentaire, responsable de maladies gastro-intestinales et de fièvres, pouvant parfois se propager depuis les intestins pour causer des méningites ou des septicémies mortelles. Les chercheurs ont documenté comment, après l’infection, ces bactéries sont englouties par des cellules nettoyeuses appelées phagocytes. Elles y sont capturées par un organite nommé phagosome, censé digérer les envahisseurs.
Cependant, Daniel Portnoy a démontré il y a près de quarante ans que la Listeria échappe à ce destin. Avant d’être détruite, elle s’évade du phagosome pour s’installer à l’intérieur de la cellule, se cachant ainsi du système immunitaire de l’hôte jusqu’à ce qu’elle se reproduise et se propage pour infecter de nouvelles cellules. Bien qu’elle se dissimule, elle déclenche tout de même le système immunitaire adaptatif, poussant ce dernier à produire des lymphocytes T cytotoxiques (ou CD8) capables de tuer les cellules infectées.
Dans les années 2000, Portnoy s’est associé à la société Aduro Biotech pour développer un traitement contre le cancer utilisant une Listeria modifiée. Il a d’abord fallu construire une version qui ne rendrait pas les gens malades. Pour ce faire, il a supprimé deux gènes nécessaires à la bactérie pour sortir d’une cellule et se propager. Normalement, la bactérie détourne l’actine de la cellule hôte (une protéine du cytosquelette) pour construire des protrusions semblables à des doigts, qui sont ensuite internalisées par les cellules voisines.
Daniel Portnoy explique cette découverte cruciale : « Nous avons découvert qu’une souche incapable de nucléer l’actine pénétrait quand même dans le cytosol des cellules, continuait de croître et d’induire une réponse immunitaire puissante, mais comme elle ne se propage pas, elle est mille fois moins virulente. »
L’évolution vers une sécurité accrue : la souche QUAIL
La première version de la thérapie, nommée LADD (pour Listeria attenuated double deleted), a été combinée à un antigène du cancer et utilisée par Aduro pour traiter près de 1 000 patients atteints de cancer du pancréas et de mésothéliome. Malheureusement, ce vaccin contre le cancer n’a pas fonctionné aussi bien chez l’humain que chez la souris, en partie car les humains n’ont pas monté une réponse de lymphocytes T cytotoxiques aussi robuste. Aduro a finalement arrêté les essais et a fusionné avec une autre entreprise en 2020.
Cependant, la nouvelle thérapie de Laguna Bio représente une amélioration significative par rapport au LADD. Baptisée QUAIL (pour quadruple attenuated intracellular Listeria), cette souche a vu deux gènes supplémentaires supprimés pour la rendre encore plus sûre chez l’homme. Elle est dépourvue de deux enzymes — découvertes par Portnoy et son ancien étudiant diplômé Rafael Rivera Lugo — nécessaires à la synthèse de cofacteurs nutritifs essentiels dérivés de la riboflavine, ou vitamine B2.
Ces cofacteurs, connus sous les noms de FMN et FAD, sont disponibles à l’intérieur des cellules, rendant les propres enzymes de la bactérie inutiles dans cet environnement. En revanche, ils ne sont pas disponibles à l’extérieur de la cellule. Par conséquent, la Listeria quadruple-atténuée ne peut pas croître en milieu extracellulaire. Portnoy a transformé un pathogène capable de croître partout en un organisme strictement restreint à l’environnement intracellulaire.
Le professeur Portnoy raconte ce moment de réalisation : « Nous avons dit :
Réveiller le système immunitaire inné

L’approche de Portnoy et de ses collègues vise une application plus large de cette thérapie, unique parmi les traitements anticancéreux car elle stimule le système immunitaire inné du corps. L’objectif est d’éliminer essentiellement toute cellule émettant un signal de détresse indiquant qu’elle est compromise. À l’heure actuelle, les immunothérapies classiques activent généralement le système immunitaire « adaptatif », en boostant les cellules qui reconnaissent et tuent spécifiquement les cellules cancéreuses.
Daniel Portnoy précise la nuance : « Le problème est que les tumeurs constituent un environnement suppressif, et donc le système immunitaire ne fonctionne pas vraiment. Il y a beaucoup de tentatives pour essayer de réveiller le système immunitaire, comme l’utilisation d’inhibiteurs de points de contrôle, qui ont été développés à l’origine à l’UC Berkeley. L’idée est assez similaire avec la Listeria : la Listeria elle-même est perçue comme étrangère et induit une réponse immunitaire innée, ce qui permet au corps de surmonter la suppression. »
Les collaborateurs de Berkeley et Laguna Bio ont récemment publié les détails de l’utilisation réussie de la thérapie Listeria atténuée chez les souris dans la revue mBio. Dans une autre étude publiée l’année dernière sur le serveur de préimpression bioRxiv, ils ont rapporté que la Listeria peut également être modifiée pour stimuler un autre type de cellule immunitaire innée — les cellules T invariantes associées aux muqueuses, ou MAIT — qui aident à défendre l’organisme contre les infections et possiblement le cancer.
Jonathan Kotula, PDG de Laguna Bio, souligne l’importance de cet héritage scientifique : « Ce que nous faisons est basé sur des décennies de littérature, au premier rang desquelles les travaux du Dr Portnoy, montrant que la Listeria génère une réponse immunitaire vraiment unique. Nous pensons que si vous voulez générer une réponse immunitaire complète, vous devez orchestrer soigneusement l’ensemble du système immunitaire. Et la Listeria atténuée semble faire cela. »
Essais cliniques et applications pédiatriques

L’étude récemment publiée établit la sécurité de la thérapie chez les souris et confirme que la souche QUAIL conserve une puissance équivalente à celle de LADD. Un avantage majeur de QUAIL est son incapacité à croître hors des cellules. Contrairement à LADD, elle ne peut pas se développer sur les cathéters et les implants souvent utilisés pour traiter les patients atteints de cancer, ce qui renforce sa sécurité clinique.
Les médecins du centre médical de l’Université de Stanford espèrent que la Listeria modifiée stimulera les lymphocytes T gamma delta chez les patients pédiatriques. Le but est triple : aider ces enfants à éviter la maladie du greffon contre l’hôte, combattre les infections potentiellement mortelles qui profitent du système immunitaire compromis du patient greffé, et empêcher le cancer de revenir.
Dans ces premiers essais sur des patients atteints de leucémie pédiatrique, Laguna Bio prévoit d’utiliser QUAIL directement pour susciter une réponse des lymphocytes T gamma delta. L’idée est que ces cellules T combattront l’infection, le rejet et la récidive en tuant directement les cellules leucémiques chez un patient où les cellules T du système immunitaire adaptatif ont été supprimées pour empêcher le rejet de la greffe. Jonathan Kotula explique la stratégie : « Prendre tout ce corpus de données qui existait auparavant grâce à Aduro nous a permis d’aller de l’avant avec ce plan qui, je pense, est vraiment unique en ce sens qu’il est éclairé par des données humaines robustes. »
Perspectives d’avenir : vaccins et autres cancers

Si la souche QUAIL s’avère sûre et efficace lors des essais à Stanford, Jonathan Kotula envisage des traitements pour d’autres maladies. Le myélome multiple, les lymphomes, le neuroblastome, les sarcomes et diverses tumeurs solides sont autant de pathologies qui ont montré une réponse à l’augmentation des lymphocytes T gamma delta. La thérapie pourrait également fonctionner de manière prophylactique comme vaccin contre des maladies telles que le paludisme, la tuberculose et les infections virales latentes causées par des pathogènes intracellulaires.
Le PDG de Laguna Bio détaille sa vision : « Revigorons le système immunitaire, en nous concentrant initialement sur les cancers où juste cette revigoration — les cellules T gamma delta — a montré une promesse d’efficacité contre la maladie. Ensuite, une fois que vous avez cette revigoration, il est toujours utile de la diriger quelque part. »
Il conclut sur l’intégration de cette innovation dans l’arsenal thérapeutique actuel : « Je pense que cela peut faire partie d’un large éventail de thérapies et constituer une pièce d’un régime de traitement qui s’intègre bien dans la façon dont de nombreuses immunothérapies sont administrées aujourd’hui. Cela fonctionne vraiment bien et complète beaucoup de médicaments d’immunothérapie déjà approuvés. »
Selon la source : phys.org
Créé par des humains, assisté par IA.